
《用戶注冊協議與須知》
一、遵守中華人民共和國有關法律、法規,承擔一切因您的行為而直接或間接引起的法律責任。
二、在本站發表言論請注意以下幾條規定,若有違反,本壇有權刪除。
1 、反對國家憲法所確定的基本原則的;
2 、危害國家安全,泄露國家秘密,顛覆國家政權,破壞國家統一的;
3 、損害國家榮譽和利益的;
4 、煽動民族仇恨、民族歧視,破壞民族團結的;
5 、破壞國家宗教政策,宣揚邪教和封建迷信的;
6 、散布謠言,擾亂社會秩序,破壞社會穩定的;
7 、散布淫穢、色情、賭博、暴力、凶殺、恐怖或者教唆犯罪的;
8 、侮辱或者誹謗他人,侵害他人合法權益的;
9 、含有法律、行政法規禁止的其他內容的;
10、請勿張貼未經公開報道、未經證實的消息;親身經曆者請注明;
11、請勿張貼宣揚種族歧視、破壞民族團結的言論和消息;
12、未經本站同意,請勿張貼任何形式的廣告;
13、請勿在帖子中(標題和內容)加入各種奇形怪狀的符號;
三、ID注冊和使用昵稱注意事項:
1、請勿以黨和國家領導人或其他名人的真實姓名、字、號、藝名、筆名注冊和使用昵稱;
2、請勿以國家組織機構或其他組織機構的名稱注冊和使用昵稱;
3、請勿注冊和使用與其他網友相同、相仿的名字或昵稱;
4、請勿注冊和使用不文明、不健康的ID和昵稱;
5、請勿注冊和使用易產生歧義、引起他人誤解的ID和昵稱。
注冊成功!您已注冊成功,即可開始你的健康之旅!
客服熱線:
驚人發現!Cell子刊:這種免疫細胞竟是肺癌“幫凶”

圖片來源:網絡
肺癌是對人類健康和生命威脅最大的惡性腫瘤。與傳統的手術、放療、化療不同,目前,革命性的免疫療法已成為治療肺癌最有前途的方法之一。在過去的20年裏,免疫療法很大程度上是基於免疫細胞浸潤到肺腫瘤中的程度,這已經成為了患者總體預後的一個主要預測因子。
然而,問題是,肺腫瘤會適應“浸潤免疫細胞”的攻擊,並找到方法來逃避它們。表達於癌細胞表麵的PD-L1分子就是腫瘤逃避免疫細胞攻擊的重要幫手之一。PD-L1分子會與T細胞表麵的PD-1分子相結合,從而觸發一係列的生物學反應,關閉T細胞的攻擊機製,使它們對腫瘤“無害”。
為了解決這一問題,科學家們開發出了阻斷PD-L1與PD-1相互作用的抗體藥物,使得T細胞恢複了攻擊癌細胞的功能。然而,這對於治療肺癌來說還是不夠的。來自瑞士洛桑聯邦理工學院 (EPFL)的科學家們認為,我們需要更加全麵的了解在肺癌中激活的免疫環路(immune circuit),這將幫助優化當前免疫療法的療效。

圖片來源:Cell Reports
12月12日,最新發表在Cell Reports上的這項研究中,EPFL的Etienne Meylan教授實驗室利用肺癌小鼠模型發現,肺腫瘤實際上可以得到一種被稱為“中性粒細胞”(neutrophils,通常是感染、過敏反應和哮喘的第一道防線)的免疫細胞的幫助。
研究中,科學家們采用了所謂的“中性粒細胞消耗”(neutrophil depletion)。該方法是用於研究當中性粒細胞數量減少時,腫瘤內會發生什麼。

圖片來源:Cell Reports
令人驚訝的是,他們發現,減少中性粒細胞對肺腫瘤的免疫環境造成了影響重大的重建(re-modeling),T細胞開始“湧進”腫瘤中。這意味著,中性粒細胞確實幫助腫瘤更好地躲避T細胞的攻擊。相反,減少中性粒細胞使得腫瘤對抗PD-1免疫療法變得敏感。
不過,Meylan教授說:“由於中性粒細胞在抵抗病原體方麵非常重要,因此‘中性粒細胞消耗’不bu太tai可ke能neng在zai臨lin床chuang中zhong被bei使shi用yong。鑒jian於yu此ci,我wo們men必bi須xu集ji中zhong精jing力li去qu調tiao查zha究jiu竟jing中zhong性xing粒li細xi胞bao是shi如ru何he促cu進jin肺fei腫zhong瘤liu發fa展zhan的de。這zhe可ke能neng會hui帶dai來lai阻zu斷duan中zhong性xing粒li細xi胞bao這zhe種zhong‘促腫瘤功能’的藥物。”

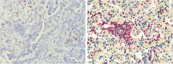
Neutrophils inside lung adenocarcinoma tumors. On the left, neutrophils inside a mouse tumor are stained brown; on the right, neutrophils inside a human tumor are stained red. Credit: E. Meylan/EPFL
研究中,科學家們發現,中性粒細胞的存在導致了腫瘤血管功能的改變。這些改變觸發了缺氧(hypoxia),並導致腫瘤細胞產生一種叫做“Snail”的蛋白質。這一點很重要,因為,Snail可以幫助癌細胞抵抗藥物,同時促進腫瘤複發和轉移,是眾所周知的。
他們還發現,Snail會反過來增加了蛋白質Cxcl2的分泌,進而增加了中性粒細胞的浸潤。作者們將中性粒細胞與Snail之間的這種相互促進關係描述為“惡性循環”。這種循環最終維持了支持腫瘤生長的微環境。

Etienne Meylan教授(圖片來源:EPFL)
Meylan教授說:“癌症免疫療法已成為肺癌患者的新選擇(美國FDA已批準了3個PD-1/PD-L1抗體用於治療非小細胞肺癌),但是在多達三分之二的患者中,肺腫瘤並不能響應免疫療法。我們的工作為這種大部分患者的不響應現象提供了一種解釋。我們相信,找到打破中性粒細胞與腫瘤細胞之間惡性關聯的方法有望阻礙腫瘤生長,增加能夠響應免疫療法的患者比例。”
End
參考資料:1)The immune cells that help tumors instead of destroying them
來源:生物搜索
更多基因服務關注漢基基因公眾號👇

上一篇:下一篇:
1996年,K. Christopher Garcia教授與他的同事首次解析出了T細胞受體結合靶點時的三維結構。自那...
本文來源微信公眾號“睡眠冰室”,作者:睡眠 ,版權歸原作者所有今天的內容絕對精彩,而且幹貨...
CONTACT US
深圳前海百彙基因信息科技有限公司 ShenzhenQianhaiPaffeeGeneInformationTechnologyCo.,Ltd .
廣東漢基天承基因科技有限公司(總部)GuangdongCHN - GENEGenetics TechnologyCo.,Ltd .
CHN-GENE版權所有 © 2026 百彙基因